Alinhadores Invisíveis(Invisalign)
Conquiste um sorriso alinhado com discrição e tecnologia
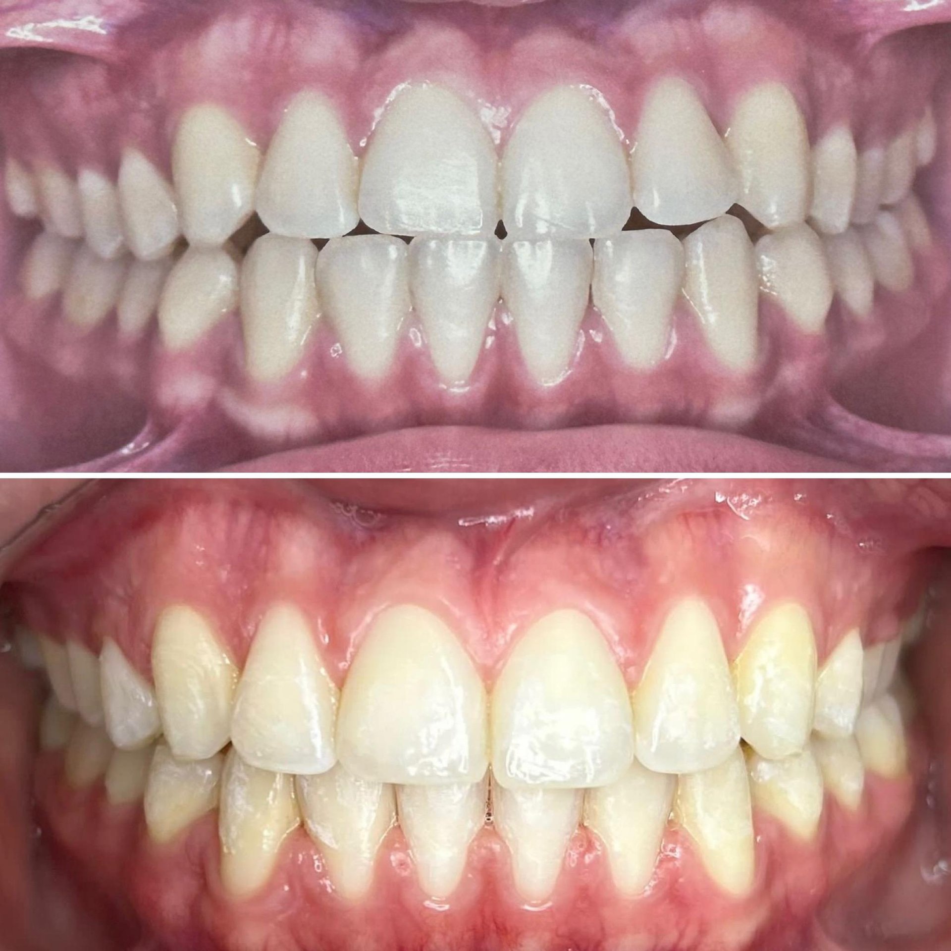
Chega de adiar o sorriso que você sempre quis por causa de aparelho metálico.
Com os alinhadores invisíveis, você corrige seus dentes de forma praticamente imperceptível, confortável e com previsibilidade de resultado desde o início.
Imagine alinhar seus dentes sem que ninguém perceba…
Sem fios, sem bráquetes, sem desconforto.
👉 Essa já é a escolha de quem busca estética, praticidade e resultados modernos.





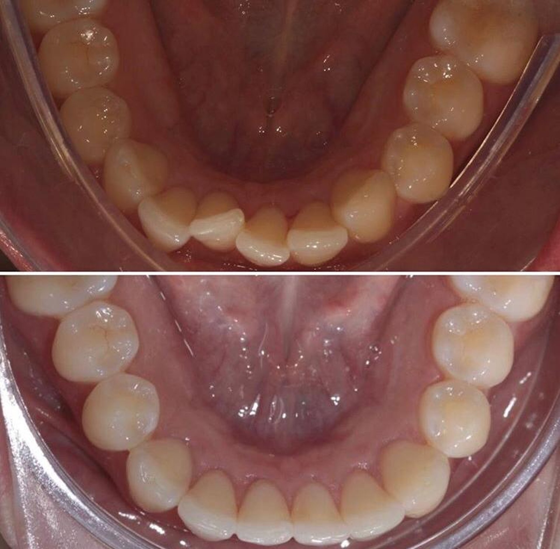
O que são os alinhadores invisíveis?
Os alinhadores invisíveis são placas transparentes e removíveis feitas sob medida para movimentar seus dentes de forma gradual até a posição ideal.
Diferente do aparelho tradicional, eles não utilizam fios ou metais — apenas tecnologia e planejamento digital de alta precisão.
Cada alinhador faz pequenas movimentações, sendo trocado periodicamente até atingir o resultado final.
Como funciona o tratamento?
O processo é simples, moderno e totalmente planejado:
✔ Avaliação completa do seu sorriso
✔ Escaneamento digital 3D (sem moldes desconfortáveis)
✔ Simulação do resultado antes mesmo de começar
✔ Produção dos alinhadores personalizados
✔ Trocas periódicas até alcançar o alinhamento ideal
Tudo é pensado para que você saiba exatamente onde vai chegar antes de iniciar.
Vantagens dos alinhadores invisíveis
Estética discreta
Quase imperceptível no dia a dia — ideal para trabalho, fotos e vida social.
Mais conforto
Sem fios ou metais, reduz irritações e dores comuns do aparelho fixo.
Removível
Você pode retirar para comer e higienizar, sem restrições alimentares.
Higiene facilitada
Escove e use fio dental normalmente, mantendo sua saúde bucal em dia.
Tecnologia e previsibilidade
Você vê o resultado antes de começar, com planejamento digital 3D.
Para quem é indicado?
Os alinhadores invisíveis são ideais para quem deseja:
✔ Corrigir dentes tortos ou desalinhados
✔ Fechar espaços entre os dentes
✔ Melhorar a estética do sorriso
✔ Tratar casos leves a moderados de mordida
E principalmente…
👉 Para quem quer alinhar os dentes sem comprometer a aparência durante o tratamento




Quanto tempo dura o tratamento?
O tempo pode variar conforme cada caso, mas muitos pacientes começam a notar mudanças já nos primeiros meses.
Em geral, o tratamento dura de alguns meses até cerca de 1 a 2 anos, dependendo da complexidade.
Por que escolher nossa clínica?
✔ Atendimento humanizado e personalizado
✔ Planejamento digital completo
✔ Acompanhamento próximo em todas as etapas
✔ Foco total em estética e resultado natural
Aqui, você não está apenas alinhando dentes…
Está investindo na sua confiança.
Dê o primeiro passo para o seu novo sorriso
Você merece sorrir com segurança, liberdade e autoestima.
📲 Agende sua avaliação agora mesmo
e descubra como os alinhadores invisíveis podem transformar o seu sorriso.


Quer recuperar seu sorriso hoje mesmo?
Agende sua avaliação!
📍 Clínica no Recreio dos Bandeirantes – RJ
📅 Atendimento com hora marcada
