Facetas em Resina

Harmonia, estética e naturalidade no sorriso.

Assista ao depoimento de quem escolheu facetas em resina e transformou o sorriso de forma rápida, segura e natural.

Facetas em Resina: transforme seu sorriso com naturalidade

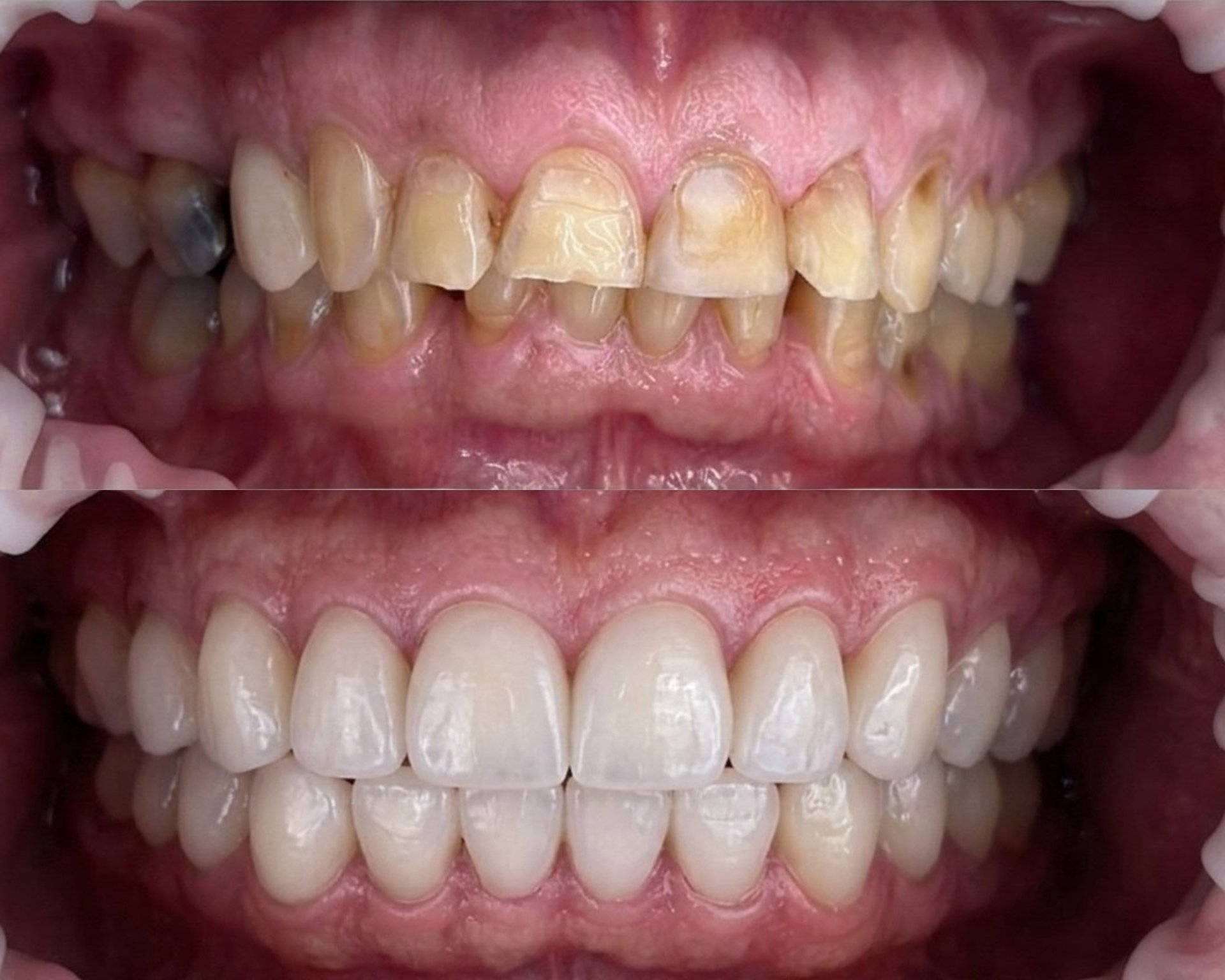
As facetas em resina são uma solução moderna, acessível e pouco invasiva para melhorar a estética do sorriso. Indicadas para quem deseja corrigir cor, formato, pequenas imperfeições e desalinhamentos leves, elas oferecem resultados rápidos e naturais quando bem planejadas.

Cada sorriso é único — por isso, o tratamento é sempre personalizado, respeitando suas características faciais e expectativas.

O que são facetas em resina?

As facetas em resina são finas camadas aplicadas diretamente sobre os dentes, moldadas de forma artesanal pelo dentista. Elas permitem melhorar o sorriso sem desgastar excessivamente o dente natural, preservando sua estrutura.

É uma técnica segura, reversível em muitos casos e muito utilizada na odontologia estética atual.

Quanto tempo leva o tratamento?

Uma das maiores vantagens das facetas em resina é a rapidez.

  • Em muitos casos, o tratamento pode ser feito em 1 a 2 consultas

  • Cada sessão costuma durar entre 3 e 4, dependendo da quantidade de dentes

  • O resultado é visível imediatamente após o procedimento

Tudo começa com uma avaliação detalhada, onde são definidos o planejamento estético, formato e cor ideais para o seu sorriso.

O procedimento dói?

Não.
As facetas em resina são um tratamento minimamente invasivo e, na maioria dos casos:

  • Não causam dor

  • Não exigem anestesia ou apenas uma anestesia leve

  • Não envolvem cirurgia

O procedimento é confortável e seguro, respeitando os limites do dente natural.

Para quem as facetas em resina são indicadas?

As facetas em resina são indicadas para quem deseja:

  • Clarear o sorriso (quando o clareamento não é suficiente)

  • Corrigir dentes manchados ou escurecidos

  • Melhorar formato e tamanho dos dentes

  • Fechar pequenos espaços (diastemas)

  • Corrigir pequenas assimetrias ou desgastes

Durante a avaliação, o dentista confirma se essa é a melhor opção ou indica outro tratamento mais adequado.

O resultado fica natural?

Sim — quando o tratamento é bem planejado e executado por um profissional experiente.

O objetivo não é criar um sorriso artificial, mas sim harmonizar os dentes com o rosto, respeitando proporções, cor da pele, formato labial e expressão facial.

Naturalidade é prioridade.

As facetas em resina duram quanto tempo?

Com bons cuidados, as facetas em resina podem durar vários anos.

A durabilidade depende de:

  • Hábitos do paciente

  • Higiene bucal adequada

  • Manutenções periódicas

  • Evitar morder objetos duros ou usar os dentes como ferramenta

Consultas de acompanhamento ajudam a manter o sorriso bonito por mais tempo.

Por que fazer facetas em resina em uma clínica especializada?

Porque estética dental não é apenas técnica — é sensibilidade, planejamento e experiência.

Aqui, cada tratamento é pensado com:

  • Avaliação personalizada

  • Planejamento estético individual

  • Atendimento humanizado

  • Foco em segurança e naturalidade

Agende sua avaliação

Descubra se as facetas em resina são ideais para você e veja como é possível transformar seu sorriso de forma rápida, segura e natural.

Quer recuperar seu sorriso hoje mesmo?


Agende sua avaliação!

📍 Clínica no Recreio dos Bandeirantes – RJ
📅 Atendimento com hora marcada